您的位置: 网站首页 >> 产品中心 >> >> 抗体 > 脂联素受体2抗体
产品名称:

脂联素受体2抗体

产品型号: 产品时间: 2023-03-08
脂联素受体,adipor1(mim 607945)和adipor2,作为球形和全长脂联素(mim 605441)的受体,脂联素受体2抗体介导AMPK(参见mim 602739)和PPARα(ppara;mim 170998)配体活性的增加,以及脂联素的脂肪酸氧化和葡萄糖摄取(Yamauchi等人,2003[PubMed 12802337])。

产品概述

英文名称:Anti-Adiponectin receptor 2​​

中文名称:脂联素受体2抗体

抗体来源:兔

克隆类型:多克隆

交叉反应:

产品应用:WB=1:500-2000 ELISA=1:500-1000 IHC-P=1:400-800 IHC-F=1:400-800 Flow-Cyt=1μg /test IF=1:100-500(石蜡切片需做抗原修复)  ​

尚未在其他应用程序中测试。

用户终应确定合适稀释浓度。

分子量:44kDa

细胞定位:细胞膜

状态:冻干或液体

浓度:1mg/ml

来源于:KLH conjugated synthetic peptide derived from human Adiponectin receptor 2:315-340/386

亚型:IgG

纯化方法:affinity purified by Protein A

储存液:0.01M TBS(pH7.4) with 1% BSA, 0.03% Proclin300 and 50% Glycerol.

​别    名:Adipo R2; Progestin and adipoQ receptor family member II; Adipor2; PAQR2; ADR2_HUMAN.  ​​

保存条件:在-20°C下保存一年。避免重复冻融循环。冻干抗体在室温下至少稳定一个月,并在-20°C下保持一年以上。当在无菌pH7.4 0.01M PBS或抗体稀释剂中重组时,抗体在2-4°C下至少稳定两周。

产品介绍

脂联素受体,adipor1(mim 607945)和adipor2,作为球形和全长脂联素(mim 605441)的受体,介导AMPK(参见mim 602739)和PPARα(ppara;mim 170998)配体活性的增加,以及脂联素的脂肪酸氧化和葡萄糖摄取(Yamauchi等人,2003[PubMed 12802337])。[supplied by OMIM, Mar 2008]

功能

球蛋白和全长脂联素(apm1)受体,是脂肪细胞分泌的一种重要激素,起到抗糖尿病的作用。可能参与调节脂肪代谢的代谢途径,如脂肪酸氧化。介导脂联素增加AMPK、PPARA配体活性、脂肪酸氧化和葡萄糖摄取。对球蛋白和全长脂联素具有一定的中间亲和受体活性。​

亚单位

可能形成同型和异多聚体。​

疾病​

膜;多通道膜蛋白。注=局限于细胞膜和细胞内细胞器。​

在骨骼肌、肝脏和胎盘中高度表达。在脑、心、结肠、脾、肾、胸腺、小肠、外周血白细胞和肺组织中表达较弱。

​​​​​​​​

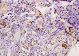
组织/细胞:大鼠胰腺组织;4%多聚甲醛固定和石蜡包埋;

抗原提取:柠檬酸缓冲液(0.01M,pH 6),15min煮沸,用3%过氧化氢阻断内源性过氧化物酶30min;37℃下阻断缓冲液(正常山羊血清)20 min;

孵育:抗脂联素受体2多克隆抗体,未结合 1:200,4°C下过夜,然后与二级抗体 结合,DAB 染色。

 

重要注意事项:

本产品仅用于研究用途,不用于人类、治疗或诊断应用。

公司优势:
1)质量:我司提供的的试剂为世界
2)价格:价格实惠,量大从优。
4)服务:提供完整的售前、售后和售中服务。售后到底

如需订购脂联素受体2抗体​​​​​​,请联系我们。

Anti-Amylin  糖尿病相关肽/胰岛淀粉样肽抗体
Anti-β-Amyloid 1-42 CT(Aβ1-42)  β淀粉样肽1-42 (C端抗体)
Anti-β-Amyloid(1-16)  β淀粉样肽(1-16)抗体
Anti-β-Amyloid(31-35)  β淀粉样肽(31-35)抗体
Anti-β-Amyloid(1-28)  β淀粉样肽(1-28)抗体
Anti-β-Amyloid(1-40)  β淀粉样肽(1-40)抗体
Anti-β-Amyloid 1-40(CT)  β淀粉样肽 1-40 C端抗体
Anti-β-Amyloid 1-40(CT)mouse  β淀粉样肽 1-40 C端抗体

留言框

  • 产品:

  • 您的单位:

  • 您的姓名:

  • 联系电话:

  • 常用邮箱:

  • 省份:

  • 详细地址:

  • 补充说明:

  • 验证码:

    请输入计算结果(填写阿拉伯数字),如:三加四=7
分享到:
版权所有©2019 上海晅科生物科技有限公司 备案号:京ICP证000000号
  • 扫一扫,关注我们