您的位置: 网站首页 >> 产品中心 >> >> 抗体 > 脂联素抗体(Adiponectin)
产品名称:

脂联素抗体(Adiponectin)

产品型号: 产品时间: 2023-03-08
脂联素:由脂肪细胞(脂肪细胞)产生和分泌的一种蛋白质激素,调节脂类和葡萄糖的代谢。脂联素影响机体对胰岛素的反应。脂联素对血管壁细胞也有抗炎作用。高血清脂联素水平与降低心脏病发作风险有关。肥胖人群(以及心脏病发作风险增加的人群)中脂联素水平较低。脂肪细胞产生和分泌许多蛋白质,包括瘦素、阿迪psin、和肿瘤坏死因子(TNF)。分离出一种脂肪组织特异性因子脂联素抗体(Adiponectin)

产品概述

英文名称:Anti-Adiponectin

中文名称:脂联素抗体(Adiponectin)

抗体来源:兔

克隆类型:多克隆

交叉反应:人,小鼠,大鼠,鸡,狗,猪,牛,兔子​

产品应用:WB=1:500-2000 ELISA=1:500-1000 IHC-P=1:400-800 IHC-F=1:400-800 IF=1:100-500(石蜡切片需做抗原修复)  ​

尚未在其他应用程序中测试。

用户终应确定合适稀释浓度。

分子量:25kDa

细胞定位:分泌型蛋白 

状态:冻干或液体

浓度:1mg/ml

来源于:KLH conjugated synthetic peptide derived from human Adiponectin:151-244/244

亚型:IgG

纯化方法:affinity purified by Protein A

储存液:0.01M TBS(pH7.4) with 1% BSA, 0.03% Proclin300 and 50% Glycerol.

​别    名:30 kDa adipocyte complement related protein; 30 kDa adipocyte complement-related protein; ACDC; ACRP 30; ACRP30; ADIPO_HUMAN; Adipocyte; Adipocyte C1q and collagen domain containing protein; Adipocyte complement related 30 kDa protein; Adipocyte complement related protein of 30 kDa; Adipocyte complement-related 30 kDa protein; Adiponectin; AdipoQ; Adipose most abundant gene transcript 1; Adipose most abundant gene transcript 1 protein; Adipose specific collagen like factor; ADIPQTL1; ADPN; APM 1; apM-1; ApM1; C1q and collagen domain-containing protein; GBP 28; GBP28; Gelatin binding protein; Gelatin binding protein 28; Gelatin-binding protein.  

保存条件:在-20°C下保存一年。避免重复冻融循环。冻干抗体在室温下至少稳定一个月,并在-20°C下保持一年以上。当在无菌pH7.4 0.01M PBS或抗体稀释剂中重组时,抗体在2-4°C下至少稳定两周。

产品介绍

脂联素:由脂肪细胞(脂肪细胞)产生和分泌的一种蛋白质激素,调节脂类和葡萄糖的代谢。脂联素影响机体对胰岛素的反应。脂联素对血管壁细胞也有抗炎作用。高血清脂联素水平与降低心脏病发作风险有关。肥胖人群(以及心脏病发作风险增加的人群)中脂联素水平较低。脂肪细胞产生和分泌许多蛋白质,包括瘦素、阿迪psin、和肿瘤坏死因子(TNF)。分离出一种脂肪组织特异性因子,称为apm1(脂肪丰富的基因转录1)。APM1的蛋白质产物是脂联素。apm1基因映射到染色体3q27。

 

功能:

重要的脂肪因子参与控制脂肪代谢和胰岛素敏感性,具有直接抗糖尿病、抗动脉粥样硬化和抗炎活性。刺激肝脏和骨骼肌中的AMPK磷酸化和活化,提高葡萄糖利用率和脂肪酸燃烧。通过在肝脏和巨噬细胞等各种组织中负性调节肿瘤坏死因子α的表达,并通过抵消其作用来对抗肿瘤坏死因子α。通过cAMP依赖途径抑制内皮NF-kappa-b信号传导。可能通过结合和分离具有不同结合亲和力的各种生长因子,在细胞生长、血管生成和组织重塑中发挥作用,这取决于复合物、LMW、MMW或HMW的类型。

 

Subunit:

同质的形成三聚体、六聚体和12-18聚体。三聚体(低分子量复合物/LMW)通过三螺旋中胶原样结构域的非共价相互作用和球形C1Q结构域内的疏水相互作用来组装。几个三聚体可以结合形成二硫键合的六聚体(中等分子量复合物/mmw)和较大的复合物(较高分子量/hmw)。HMW复合物装配可依赖赖氨酸羟基化和糖基化。LMW、MMW和HMW复合物与hbegf结合,MMW和HMW复合物与pdgfb结合,HMW复合物与fgf2结合。通过c1q域(异源三聚体复合物)与ctrp9a相互作用。

 

亚细胞位置:

分泌的

 

组织特异性:

*由脂肪细胞合成并分泌到血浆中。

 

翻译后修改:

在PubMed:16497731中没有发现羟基化的Lys-33,这可能是由于大量指纹图谱中N端肽的表现不佳。

HMW复合物比较小的低聚物更广泛地糖基化。脂联素胶原样结构域内赖氨酸残基的羟基化和糖基化似乎与调节HMW复合物的形成和/或分泌密切相关,从而有助于肝细胞中脂联素的胰岛素增敏活性(通过相似性)。

O-糖基化。不是N-糖基化。羟基赖氨酸上的O-连接聚糖由与翻译后加羟基的氧原子结合的glc-gal二糖组成。根据组织不同程度的聚合。THR-22似乎是唾液分泌的主要部位。sgbs脂肪细胞中的唾液酸化率高于hek成纤维细胞。异二聚化和分泌都不需要唾液酸化。不在糖基化羟基赖氨酸上聚合。所分析的形式迅速从循环中清除。

 

疾病:

脂联素缺乏(ADPND)【MIM:612556】:导致血浆脂联素浓度极低的一种情况。注=该疾病是由影响本条所述基因的突变引起的。

糖尿病,非胰岛素依赖性(NIDDM)【MIM:125853】:由于对人体胰岛素缺乏敏感性而导致的多因素葡萄糖稳态紊乱。受影响的个体通常有肥胖的身体习惯和以糖尿病、胰岛素抵抗、高血压和高甘油三酯血症为特征的代谢综合征的表现。这种疾病会导致影响眼睛、肾脏、神经和血管的长期并发症。注=疾病易感性与影响本条所述基因的变异有关。

​本产品仅用于研究用途,不用于人类、治疗或诊断应用。​

​​​​​

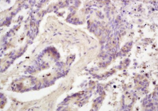
组织/细胞:人结肠癌;4%多聚甲醛固定石蜡包埋;

抗原提取:柠檬酸缓冲液(0.01M,pH 6),15min煮沸,用3%过氧化氢阻断内源性过氧化物酶30min;37℃下阻断缓冲液(正常山羊血清)20 min;

孵育:抗脂联素多克隆抗体,未结合1:200,在4°C下过夜,然后接合二级抗体和DAB染色。

重要注意事项:

本产品仅用于研究用途,不用于人类、治疗或诊断应用。

公司优势:
1)质量:我司提供的的试剂为世界
2)价格:价格实惠,量大从优。
4)服务:提供完整的售前、售后和售中服务。售后到底

如需订购脂联素抗体(Adiponectin)​​​,请联系我们。

Anti-CD73(5´-nucleotidase cytosolicⅡ)  胞浆-5´-核苷酸酶-Ⅱ抗体
Anti-CD79A/IGBP-1(Immunoglobuin binding protein-1)  免疫球蛋白结合蛋白-1抗体
Anti-CD8(Mouse Anti-Human CD8 Monoclonal Antibody)  鼠抗人CD8单克隆抗体
Anti-CD8(Rabbit Anti-Human Mouse rat CD8 Palyclonal Antibody)  CD8抗体
Anti-CD86/B7-2  CD86抗体
Anti-CDK1 (Cyclin-Dependent Kinase 1)  周期素依赖性激酶1抗体
Anti-CDK2 (Cyclin-Dependent Kinase 2)  周期素依赖性激酶2抗体
Anti-CDK4 (cyclin-dependent kinase 4)  周期素依赖性激酶4抗体

留言框

  • 产品:

  • 您的单位:

  • 您的姓名:

  • 联系电话:

  • 常用邮箱:

  • 省份:

  • 详细地址:

  • 补充说明:

  • 验证码:

    请输入计算结果(填写阿拉伯数字),如:三加四=7
分享到:
版权所有©2019 上海晅科生物科技有限公司 备案号:京ICP证000000号
  • 扫一扫,关注我们