您的位置: 网站首页 >> 产品中心 >> >> 抗体 > 水通道蛋白1抗体(AQP1)
产品名称:

水通道蛋白1抗体(AQP1)

产品型号: 产品时间: 2023-03-08
水通道蛋白1是一种28kd的完整膜蛋白,水通道蛋白1抗体(AQP1)初在红细胞和肾近端小管中被鉴定出来。aqp1也由脉络丛和其他各种组织表达。它形成一个水特异性通道,为红细胞和肾近端小管的质膜提供高透水性,从而允许水向渗透梯度方向移动。

产品概述

英文名称:Anti-AQP1​

中文名称:水通道蛋白1抗体(AQP1)

抗体来源:兔

克隆类型:多克隆

交叉反应:人、大鼠、小鼠​​​​​、狗,猪,牛,马,羊​

产品应用:WB=1:500-2000 ELISA=1:500-1000 IHC-P=1:400-800 IHC-F=1:400-800 Flow-Cyt=1µg/Test IF=1:100-500(石蜡切片需做抗原修复)  ​

尚未在其他应用程序中测试。

用户终应确定合适稀释浓度。

分子量:28kDa

细胞定位:细胞膜

状态:冻干或液体

浓度:1mg/ml

来源于:KLH conjugated synthetic peptide derived from human AQP1:181-269/269 <Cytoplasmic>

亚型:IgG

纯化方法:affinity purified by Protein A

储存液:0.01M TBS(pH7.4) with 1% BSA, 0.03% Proclin300 and 50% Glycerol.

​别    名:AQP 1; AQP-1; AQP1_HUMAN; Aquaporin-1; Aquaporin-CHIP; Channel like integral membrane protein 28 kDa; MGC26324; Water channel protein CHIP 29; AQP CHIP; AQP1; Aquaporin CHIP; Aquaporin1; Aquaporin 1; Channel forming integral protein 28kDa; CHIP 28; CHIP28; CO; Colton blood group; Growth factor induced delayed early response protein; Urine water channel; Water channel protein CHIP29; Water channel protein for red blood cells and kidney proximal tubule.  ​

保存条件:在-20°C下保存一年。避免重复冻融循环。冻干抗体在室温下至少稳定一个月,并在-20°C下保持一年以上。当在无菌pH7.4 0.01M PBS或抗体稀释剂中重组时,抗体在2-4°C下至少稳定两周。

产品介绍

水通道蛋白1是一种28kd的完整膜蛋白,初在红细胞和肾近端小管中被鉴定出来。aqp1也由脉络丛和其他各种组织表达。它形成一个水特异性通道,为红细胞和肾近端小管的质膜提供高透水性,从而允许水向渗透梯度方向移动。​

 

功能:

形成一个水特异性通道,为红细胞和肾近端小管的质膜提供对水的高渗透性,从而允许水沿渗透梯度的方向移动。

 

Subunit:

Homotetramer。与ephb2相互作用;参与内耳内淋巴生成(通过相似性)。

 

亚细胞位置:

膜;多通道膜蛋白。

 

组织特异性:

在许多组织中表达,包括红细胞、肾小管、视网膜色素上皮、心脏、肺、骨骼肌、肾脏和胰腺。在脑、胎盘和肝脏中弱表达。

 

相似性:

属于mip/aquaporin(tc 1.a.8)家族。

 

重要注意事项:

本产品仅用于研究用途,不用于人类、治疗或诊断应用。

​​​

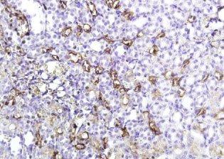
组织/细胞:大鼠肾组织;4%多聚甲醛固定石蜡包埋;

抗原提取:柠檬酸缓冲液(0.01M,pH 6),15min煮沸,用3%过氧化氢阻断内源性过氧化物酶30min;37℃下阻断缓冲液(正常山羊血清)20 min;

孵育:抗AQP-1多克隆抗体,未结合1:400,在4°C下过夜,然后与二级抗体结合,DAB染色。

公司优势:
1)质量:我司提供的的试剂为世界。
2)价格:价格实惠,量大从优。
4)服务:提供完整的售前、售后和售中服务。售后到底。

如需订购水通道蛋白1抗体(AQP1)​,请联系我们。

Anti-IASPP(inhibitory member of the ASPP family)  肿瘤细胞凋亡ASPP家族的另一个成员抗体
Anti-ICAD(Inhibitor of Caspase-Activated Dnase )  Caspase 激活的脱氧核糖核酸酶抑制剂
Anti-IDE(Insulin degradation enzyme)  胰岛素降解酶抗体
Mouse Anti-influenza A virus nucleoprotein Monoclonal(Flu-A)   鼠抗人禽流感A核蛋白单克隆抗体
Mouse Anti-influenza B virus nucleoprotein Monoclonal(Flu-B)  鼠抗人禽流感B核蛋白单克隆抗体
Anti-IFABP(Intestinal Fatty acid binding protein)  小肠型脂肪酸结合蛋白抗体
Anti-IFITM1 (interferon induced transmembrane protein 1)  干扰素诱导跨膜蛋白1抗体

留言框

  • 产品:

  • 您的单位:

  • 您的姓名:

  • 联系电话:

  • 常用邮箱:

  • 省份:

  • 详细地址:

  • 补充说明:

  • 验证码:

    请输入计算结果(填写阿拉伯数字),如:三加四=7
分享到:
版权所有©2019 上海晅科生物科技有限公司 备案号:京ICP证000000号
  • 扫一扫,关注我们