您的位置: 网站首页 >> 产品中心 >> >> 抗体 > 精子顶体前体蛋白抗体(Acrosin)
产品名称:

精子顶体前体蛋白抗体(Acrosin)

产品型号: 产品时间: 2023-03-08
精子顶体前体蛋白抗体(Acrosin)顶体蛋白是成熟精子顶体的主要蛋白酶。是一种典型的具有胰蛋白酶样特异性的丝氨酸蛋白酶。它以前体形式储存在顶体中。活性酶在透明带的溶解中起作用,从而促进精子通过卵细胞内层的糖蛋白层渗透。前体素的mRNA仅在精子发生后的阶段合成。在人类中,前体蛋白首先出现在单倍体精子细胞中。

产品概述

英文名称:Anti-Acrosin​​

中文名称:精子顶体前体蛋白抗体(Acrosin)

抗体来源:兔

克隆类型:多克隆

交叉反应:人、大鼠、小鼠、狗、猪、牛、马、兔、羊​

产品应用:WB=1:500-2000 ELISA=1:500-1000 IHC-P=1:400-800 IHC-F=1:400-800 Flow-Cyt=1ug/Test IF=1:50-200(石蜡切片需做抗原修复)

尚未在其他应用程序中测试。

用户终应确定合适稀释浓度。

分子量:33/44kDa

细胞定位:细胞核 细胞浆

状态:冻干或液体

浓度:1mg/ml

来源于:KLH conjugated synthetic peptide derived from human Acrosin heavy chain:201-300/421

亚型:IgG

纯化方法:affinity purified by Protein A

储存液:0.01M TBS(pH7.4) with 1% BSA, 0.03% Proclin300 and 50% Glycerol.

​别    名:ACR; Acrosin precursor; ACRS;Preproacrosin; Proacrosin; ACRO_HUMAN.​

保存条件:在-20°C下保存一年。避免重复冻融循环。冻干抗体在室温下至少稳定一个月,并在-20°C下保持一年以上。当在无菌pH7.4 0.01M PBS或抗体稀释剂中重组时,抗体在2-4°C下至少稳定两周。

产品介绍

顶体蛋白是成熟精子顶体的主要蛋白酶。是一种典型的具有胰蛋白酶样特异性的丝氨酸蛋白酶。它以前体形式储存在顶体中。活性酶在透明带的溶解中起作用,从而促进精子通过卵细胞内层的糖蛋白层渗透。前体素的mRNA仅在精子发生后的阶段合成。在人类中,前体蛋白首先出现在单倍体精子细胞中。

 

功能:

顶体蛋白是哺乳动物精子的主要蛋白酶。是一种具有胰蛋白酶样分裂特异性的丝氨酸蛋白酶,以酶原形式合成,前体蛋白并储存在顶体中。

 

Subunit:

重链(催化)和轻链由两个二硫键连接。与serpina5形成异二聚体。

 

相似性:

属于肽酶S1家族。

包含1个肽酶S1域。

 

重要注意事项:

本产品仅用于研究用途,不用于人类、治疗或诊断应用。

​​​​

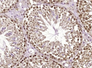
多聚甲醛固定,石蜡包埋(小鼠睾丸组织);用柠檬酸钠缓冲液(pH6.0)煮沸15min后获得抗原;用3%过氧化氢阻断内源性过氧化物酶20分钟;阻断缓冲液(正常山羊血清)37℃30min;抗体(ACS)多克隆抗体1:40孵育。0在4°C下过夜,然后根据SP试剂盒(兔子)说明和DAB染色进行操作。

公司优势:
1)质量:我司提供的的试剂为世界。
2)价格:价格实惠,量大从优。
4)服务:提供完整的售前、售后和售中服务。售后到底。

如需订购精子顶体前体蛋白抗体(Acrosin)​​​​​​​​​,请联系我们。

Anti-MMP-1(matrix metalloproteinases-1)anti-Mouse  基质金属蛋白酶-1抗体(小鼠)
Anti-MMP-13 (Matrix metalloproteinase 13)  基质金属蛋白酶13抗体
Anti-MMP-14(Matrix metalloproteinase-14)  基质金属蛋白酶-14抗体
Anti-MMP-2(Collagenase IV /Gelatinase A/Metallo proteinase-2)  基质金属蛋白酶-2抗体
Anti-MMP-3(matrix metalloproteinase-3/Transin-1/SL-1/Stromelysin-1 precursor)  基质金属蛋白酶-3抗体
Anti-MMP-7(Matrilysin/matrix metalloproteinases-7)  基质金属蛋白酶-7抗体
Anti-MMP-9(matrix metalloproteinase 9)  基质金属蛋白酶-9抗体

留言框

  • 产品:

  • 您的单位:

  • 您的姓名:

  • 联系电话:

  • 常用邮箱:

  • 省份:

  • 详细地址:

  • 补充说明:

  • 验证码:

    请输入计算结果(填写阿拉伯数字),如:三加四=7
分享到:
版权所有©2019 上海晅科生物科技有限公司 备案号:京ICP证000000号
  • 扫一扫,关注我们