您的位置: 网站首页 >> 产品中心 >> >> 抗体 > 醋酸激酶1抗体(Ack1)
产品名称:

醋酸激酶1抗体(Ack1)

产品型号: 产品时间: 2023-03-08
该基因编码一种酪氨酸激酶,该激酶以GTP结合形式结合CDC42hs,并抑制CDC42hs固有和GTPase激活蛋白(GAP)刺激的GTPase活性。这种结合是由47个氨基酸C末端的*序列介导到一个sh3结构域。该蛋白可能参与维持cdc42hs的GTP结合活性形式的调节机制,并与酪氨酸磷酸化信号转导途径直接相连。几个选择性剪接的转录变异体已经从这个基因中鉴定出来,醋酸激酶1抗体(Ack1)。

产品概述

英文名称:Anti-Ack1​

中文名称:醋酸激酶1抗体(Ack1)

抗体来源:兔子

克隆类型:多克隆

交叉反应:人类,小鼠,大鼠,鸡,狗,猪,牛​​

产品应用:WB=1:500-2000 ELISA=1:500-1000 IHC-P=1:400-800 IHC-F=1:400-800 IF=1:100-500(石蜡切片需做抗原修复)

尚未在其他应用程序中测试。

用户终应确定合适稀释浓度。

分子量:119kDa

细胞定位:细胞核 细胞浆 细胞膜

状态:冻干或液体

浓度:1mg/ml

来源于:KLH conjugated synthetic peptide derived from human Ack1:301-420/1055 <Cytoplasmic>

亚型:IgG

纯化方法:affinity purified by Protein A

储存液:0.01M TBS(pH7.4) with 1% BSA, 0.03% Proclin300 and 50% Glycerol.

​别    名:Acetate kinase 1; Acetokinase 1; Activated CDC42 kinase 1; Activated Cdc42 associated kinase 1; Activated p21cdc42Hs kinase; Tyrosine kinase non receptor 2; Tyrosine kinase non-receptor protein 2; non-receptor protein tyrosine kinase ACK; ACK; TNK 2; Tnk2; ACK1; FLJ44758; FLJ45547; ACK 1; ACK-1; ACK1_HUMAN; Activated p21cdc42Hs kinase; FLJ44758; FLJ45547; Tyrosine kinase non receptor protein 2; p21cdc42Hs.

保存条件:在-20°C下保存一年。避免重复冻融循环。冻干抗体在室温下至少稳定一个月,并在-20°C下保持一年以上。当在无菌pH7.4 0.01M PBS或抗体稀释剂中重组时,抗体在2-4°C下至少稳定两周。

产品介绍

该基因编码一种酪氨酸激酶,该激酶以GTP结合形式结合CDC42hs,并抑制CDC42hs固有和GTPase激活蛋白(GAP)刺激的GTPase活性。这种结合是由47个氨基酸C末端的*序列介导到一个sh3结构域。该蛋白可能参与维持cdc42hs的GTP结合活性形式的调节机制,并与酪氨酸磷酸化信号转导途径直接相连。几个选择性剪接的转录变异体已经从这个基因中鉴定出来,但只有两个转录变异体的全长性质已经确定。[由RefSeq提供]。

 

功能:

与细胞扩散和迁移、细胞存活、细胞生长和增殖有关的非受体酪氨酸蛋白和丝氨酸/苏氨酸蛋白激酶。将细胞外信号转导到细胞溶质和核效应器。磷酸化AKT1、AR、MCF2、WASL和WWOX。通过与表皮生长因子受体(egfr)和网格蛋白结合,参与贩运和网格蛋白介导的内吞作用。结合多泛素和单泛素并调节配体诱导的表皮生长因子受体降解,从而促进表皮生长因子受体在早期内体的限制膜上的积累。通过bcar1磷酸化介导cdc42依赖性细胞迁移的cdc42下游效应器。可能与成人突触功能和可塑性以及大脑发育有关。通过在“tyr-176”上磷酸化来激活AKT1。磷酸化‘tyr-267’和‘tyr-363’上的ar,从而促进其向雄激素反应增强剂(ARES)的招募。磷酸化“Tyr-287”上的wwox。磷酸化mcf2,从而增强其作为鸟嘌呤核苷酸交换因子(gef)对rho家族蛋白质的活性。有助于控制AXL受体水平。通过负性调节肿瘤抑制因子(如WWOX)和正性调节促生存因子(如AKT1和AR),赋予癌细胞转移特性并促进肿瘤生长。

 

Subunit:

与NEDD4交互(通过WW3域)。NEDD4L和EGF促进了与NEDD4的联系(通过相似性)。同聚二聚体与AR、CDC42、WWASL和WWOX交互。与CSPG4交互(激活)。与MERTK相互作用(激活);刺激自磷酸化。可与hsp90ab1相互作用(磷酸化);维持激酶活性。与NPHP1相互作用。与snx9交互(通过sh3域)。与SRC交互(通过SH2和SH3域)。与表皮生长因子受体相互作用,这种相互作用依赖于表皮生长因子受体的刺激和激酶活性。与AKT1相互作用(通过激酶域)。由CDC42、CRK、TNK2和BCAR1/P130CAS组成的胶原刺激复合物的一部分。通过sh3域与bcar1/p130cas交互。与grb2和许多受体酪氨酸激酶(rtk)形成复合物,包括ltk、axl或pdgfrl,其中grb2通过tnk2促进rtk的募集。

 

亚细胞位置:

细胞膜。细胞核。内体细胞连接,粘附连接。胞质小泡膜;外周膜蛋白;胞质侧。胞质小泡,包被网格蛋白的小泡。膜,网格蛋白涂层的坑。注=在膜和核中均发现Tyr-284磷酸化形式。与表皮生长因子受体共同定位于内体。核易位依赖于CDC42。

 

组织特异性:

Tyr-284磷酸化形式在进展期乳腺癌中的表达显著增加,即正常到增生(adh)、原位导管癌(dcis)、浸润性导管癌(idc)和淋巴结转移(lnmm)阶段。在前列腺癌的进展阶段,它也显示出显著的表达增加。

 

翻译后修改:

自磷酸化调节激酶活性。Tyr-518上的磷酸化是与SRC相互作用所必需的,并且在与网格蛋白包衣坑相关的过程中观察到。

NEDD4和NEDD4L可诱导多泛素的降解,且降解依赖于溶酶体(通过相似性)。

 

相似性:

属于蛋白激酶超家族。Tyr蛋白激酶家族。

包含1个Crib域。

包含1个蛋白激酶域。

包含1个SH3域。

包含1个UBA域。

 

重要注意事项:

Ack 1分子是一组促进酪氨酸激酶生长的家族成员,该蛋白与肿瘤分裂、生长、转移起到很重要的作用,可加速恶性肿瘤的浸润。

本产品仅用于研究用途,不用于人类、治疗或诊断应用。

​​​

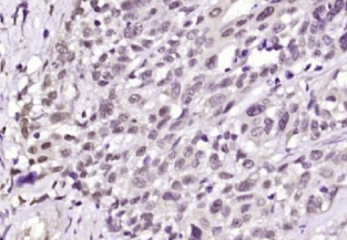
多聚甲醛固定,石蜡包埋(人结肠癌);用柠檬酸钠缓冲液(pH6.0)煮沸15min后获得抗原;用3%过氧化氢阻断内源过氧化物酶20分钟;阻断缓冲液(正常山羊血清)37℃30min;抗体(ACK1)多克隆抗体在1:200孵育。在4°C下过夜,然后根据SP试剂盒(兔子)说明和DAB染色进行操作。

公司优势:
1)质量:我司提供的的试剂为世界。
2)价格:价格实惠,量大从优。
4)服务:提供完整的售前、售后和售中服务。售后到底。

如需订购醋酸激酶1抗体(Ack1)​​,请联系我们。

Anti-OPCML (opioid binding protein/cell adhesion molecule-like)  阿片样物质结合蛋白/细胞粘附分子样蛋白抗体
Anti-OPG (Osteoprotegerin)  骨保护蛋白/护骨素抗体
Anti-OPGL/RANKL (Osteoprotegerin ligand)  骨保护蛋白配体抗体
Anti-OPN(osteopontin)  骨桥蛋白抗体
Anti-OPN(osteopontin)  骨桥蛋白抗体
Anti-ORX-A (orexin-A)  增食欲素-A/欲激素A
Anti-Osx (Osterix)  成骨相关转录因子抗体
anti-Os05g/0477200 protein  抗水稻白叶枯病菌Os05g0477200蛋白抗体
anti-OTR(oxytocin receptor)  缩宫素受体抗体
Anti-OVA  鸡卵白蛋白/卵清蛋白抗体

留言框

  • 产品:

  • 您的单位:

  • 您的姓名:

  • 联系电话:

  • 常用邮箱:

  • 省份:

  • 详细地址:

  • 补充说明:

  • 验证码:

    请输入计算结果(填写阿拉伯数字),如:三加四=7
分享到:
版权所有©2019 上海晅科生物科技有限公司 备案号:京ICP证000000号
  • 扫一扫,关注我们