您的位置: 网站首页 >> 产品中心 >> >> 抗体 > BTB/POZ结构域蛋白1抗体(BTBD1)
产品名称:

BTB/POZ结构域蛋白1抗体(BTBD1)

产品型号: 产品时间: 2023-03-08
BTB/POZ结构域蛋白1抗体(BTBD1)包含一个富含脯氨酸的区域和一个btb/poz结构域,通常参与蛋白质-蛋白质相互作用。btbd1的c末端结合拓扑异构酶I,btbd1也与trim5亚型δ相互作用。btbd1定位于胞质体,对肌源性分化至关重要。

产品概述

英文名称:Anti-BTBD1​

中文名称:BTB/POZ结构域蛋白1抗体(BTBD1)

抗体来源:兔子

克隆类型:多克隆

交叉反应:人、小鼠、大鼠、狗、猪、牛、马、羊​

产品应用:WB=1:500-2000 ELISA=1:500-1000 IHC-P=1:100-500 IHC-F=1:100-500 IF=1:50-200(石蜡切片需做抗原修复)

分  子 量:53kDa

​细胞定位:细胞浆

状态:冻干或液体

浓度:1mg/ml

来源于:KLH conjugated synthetic peptide derived from human BTBD1:101-200/482

亚型:IgG

纯化方法:affinity purified by Protein A

储存液:0.01M TBS(pH7.4) with 1% BSA, 0.03% Proclin300 and 50% Glycerol.

别    名:BTB (POZ) domain containing 1; BTB domain containing 1; BTB/POZ domain containing protein 1; BTBD 1; BTBD1; C15orf1; HCV NS5A transactivated protein 8; Hepatitis C virus NS5A transactivated protein 8; NS5ATP8; BTBD1_HUMAN.

保存条件:在-20°C下保存一年。避免反复冻融。冻干抗体在室温下至少稳定一个月,并在-20°C下保持一年以上。当在无菌pH7.4 0.01M PBS或抗体稀释剂中重组时,抗体在2-4°C下至少稳定两周。

 

​产品介绍:

btbd1包含一个富含脯氨酸的区域和一个btb/poz结构域,通常参与蛋白质-蛋白质相互作用。btbd1的c末端结合拓扑异构酶I,btbd1也与trim5亚型δ相互作用。btbd1定位于胞质体,对肌源性分化至关重要。

 

功能:

E3泛素蛋白连接酶复合物的可能底物特异性转接器,介导目标蛋白的泛素化和随后的蛋白酶体降解。

 

子单元:

与拓扑异构酶1和trim5亚型δ相互作用。与CUL3相互作用。

 

亚细胞位置:

细胞质,P体。胞质体。

 

组织特异性:

普遍存在;心脏和骨骼肌中含量较高。

 

相似性:

包含1个BTB(POZ)域。

 

重要提示:

本产品仅用于研究用途,不用于人类、治疗或诊断应用

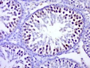
多聚甲醛固定,石蜡包埋(大鼠睾丸);经柠檬酸钠缓冲液(pH6.0)煮沸15min后获得抗原;用3%过氧化氢阻断内源性过氧化物酶20分钟;阻断缓冲液(正常山羊血清)37℃30min;用BTBD1多克隆抗体孵育Tibody,未结合在1:500下在4°C下过夜,然后结合二次20分钟,DAB染色。

公司优势:
1)质量:我司提供的的试剂为世界。
2)价格:价格实惠,量大从优。
4)服务:提供完整的售前、售后和售中服务。售后到底。

如需订购BTB/POZ结构域蛋白1抗体(BTBD1)​​​​,请联系我们。

Anti-HMGB1 (High Mobility Group Box protein 1)  高迁移率族蛋白-1抗体
Anti-HO-1/HSP32 (Hemeo xygenase 1)  血红素氧合酶-1/热休克蛋白-32抗体
Anti-HO-2 (Heme oxygenase 2)  血红素氧合酶-2抗体
Anti-HOXc8  同源盒基因的一种
Anti-HPV (Human papillomavirus)  人类乳头状瘤病毒抗体

留言框

  • 产品:

  • 您的单位:

  • 您的姓名:

  • 联系电话:

  • 常用邮箱:

  • 省份:

  • 详细地址:

  • 补充说明:

  • 验证码:

    请输入计算结果(填写阿拉伯数字),如:三加四=7
分享到:
版权所有©2019 上海晅科生物科技有限公司 备案号:京ICP证000000号
  • 扫一扫,关注我们