您的位置: 网站首页 >> 产品中心 >> >> 抗体 > BMP2抗体
产品名称:

BMP2抗体

产品型号: 产品时间: 2023-03-08
BMP2抗体属于分泌生长因子转化生长因子β(tgfb)超家族。它是一种二硫键联的同二聚体并诱导骨和软骨形成。除了成骨活性外,BMP2在心脏形态发生中起着重要作用,并在肺、脾、脑、肝、前列腺卵巢和小肠等多种组织中表达。BMP2的功能形式是一种26kDa的蛋白质,由两条相同的114氨基酸多肽链组成,通过一个二硫键连接。BMP控制胚胎早期发育、器官发生和成人组织内稳态的基本事件。

产品概述

英文名称:Anti-BMP2​

中文名称:BMP2抗体

抗体来源:兔子

克隆类型:多克隆

交叉反应:人、小鼠、大鼠、鸡、狗、猪、牛、马、豚鼠​

产品应用:WB=1:500-2000 ELISA=1:500-1000 IHC-P=1:100-500 IHC-F=1:100-500 ICC=1:100-500 IF=1:100-500(石蜡切片需做抗原修复)

分  子 量:13/44kDa

​细胞定位:分泌型蛋白

状态:冻干或液体

浓度:1mg/ml

来源于:KLH conjugated synthetic peptide derived from human BMP2:341-396/396

亚型:IgG

纯化方法:affinity purified by Protein A

储存液:0.01M TBS(pH7.4) with 1% BSA, 0.03% Proclin300 and 50% Glycerol.

别    名:Bone morphogenetic protein 2; BMP 2; BMP 2A; BMP2A; BMP-2; BMP2_HUMAN.

保存条件:在-20°C下保存一年。避免反复冻融。冻干抗体在室温下至少稳定一个月,并在-20°C下保持一年以上。当在无菌pH7.4 0.01M PBS或抗体稀释剂中重组时,抗体在2-4°C下至少稳定两周。

 

​产品介绍:

bmp2属于分泌生长因子转化生长因子β(tgfb)超家族。它是一种二硫键联的同二聚体并诱导骨和软骨形成。除了成骨活性外,BMP2在心脏形态发生中起着重要作用,并在肺、脾、脑、肝、前列腺卵巢和小肠等多种组织中表达。BMP2的功能形式是一种26kDa的蛋白质,由两条相同的114氨基酸多肽链组成,通过一个二硫键连接。BMP控制胚胎早期发育、器官发生和成人组织内稳态的基本事件。

 

功能:

诱导软骨和骨形成。

 

子单元:

同二聚体;二硫键。与SOSDC1交互。与grem2、rgma、rgmb和rgmc交互。与ASPN交互。

 

亚细胞位置:

秘密的。

 

组织特异性:

特别是肺、脾和结肠中含量丰富,心脏、大脑、胎盘、肝脏、骨骼肌、肾脏、胰腺、前列腺、卵巢和小肠中含量低但显著。

 

相似性:

属于TGFβ家族。

 

重要提示:

本产品仅用于研究用途,不用于人类、治疗或诊断应用

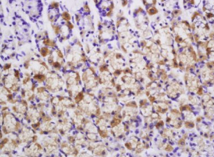
组织/细胞:大鼠胃组织;4%多聚甲醛固定石蜡包埋;

抗原提取:柠檬酸缓冲液(0.01M,pH 6),15min煮沸,用3%过氧化氢阻断内源性过氧化物酶30min;阻断缓冲液(正常山羊血清),在37℃下20 min;

孵育:抗-BMP2多克隆抗体,未结合1:200,在4∑C下过夜,然后与二级抗体结合,DAB染色。

公司优势:
1)质量:我司提供的的试剂为世界。
2)价格:价格实惠,量大从优。
4)服务:提供完整的售前、售后和售中服务。售后到底。

如需订购BMP2抗体​​​​​,请联系我们。

Anti-IL-6 (Interleukin-6) mouse、rat  白介素6抗体
Anti-IL-6(Interleukin-6/interferon, beta 2)mouse rat  白介素6抗体
Anti-IL-8(Interleukin-8)rat mouse  白介素8抗体
Anti-ILK-1 (Integrin-linked protein kinase 1)  整合素连接激酶-1抗体
anti-ING1/p33(inhibitor of growth gene 1)  生长抑制因子基因1抗体
Anti-Inhibin α  抑制素α抗体

留言框

  • 产品:

  • 您的单位:

  • 您的姓名:

  • 联系电话:

  • 常用邮箱:

  • 省份:

  • 详细地址:

  • 补充说明:

  • 验证码:

    请输入计算结果(填写阿拉伯数字),如:三加四=7
分享到:
版权所有©2019 上海晅科生物科技有限公司 备案号:京ICP证000000号
  • 扫一扫,关注我们