您的位置: 网站首页 >> 产品中心 >> >> 抗体 > 磷酸化相关死亡促进因子抗体
产品名称:

磷酸化相关死亡促进因子抗体

产品型号: 产品时间: 2023-03-08
磷酸化相关死亡促进因子抗体BAD是bcl2家族的成员,通过与生存蛋白bcl2和bclxl形成异二聚体来促进凋亡,从而阻止它们与bax结合。BAD存在于线粒体外膜,一旦对生长作出磷酸化反应,就会转移到细胞质。BAD的磷酸化状态是死亡或细胞存活的关键检查点。JNK诱导的bad丝氨酸128磷酸化通过抑制生长因子对bad介导的凋亡的抑制作用来促进bad的凋亡作用。

产品概述

英文名称:Anti-phospho-BAD (Ser99)​

中文名称:磷酸化相关死亡促进因子抗体

抗体来源:兔子

克隆类型:多克隆

交叉反应:人

产品应用:WB=1:500-2000 ELISA=1:500-1000 IHC-P=1:100-500 IHC-F=1:100-500 ICC=1:100-500 IF=1:100-500(石蜡切片需做抗原修复)

分  子 量:22kDa

​细胞定位:细胞浆 细胞膜 线粒体

状态:冻干或液体

浓度:1mg/ml

来源于:KLH conjugated Synthesised phosphopeptide derived from human BAD around the phosphorylation site of Ser99:SR(P-S)AP

亚型:IgG

纯化方法:affinity purified by Protein A

储存液:0.01M TBS(pH7.4) with 1% BSA, 0.03% Proclin300 and 50% Glycerol.

别    名:Bad (phospho S99); Bad (phospho Ser99); p-Bad (S99);p- Bad (Ser99); p-Bad (phospho Ser99); BBC 2; BBC2; BBC6; Bcl 2 Antagonist of Cell Death; Bcl 2 Binding Component 6; BCL X / BCL 2 Binding Protein; BCL X Binding Protein; Bcl XL/Bcl 2 Associated Death Promoter; Bcl-2-like protein 8; Bcl2 antagonist of cell death; BCL2 antagonist of cell death protein; BCL2 associated agonist of cell death; Bcl2 Associated Death Promoter; BCL2 binding component 6; BCL2 binding protein; Bcl2 Like 8 Protein; Bcl2-L-8; BCL2L8; BclXL; Proapoptotic BH3 Only Protein; BAD_HUMAN; Bcl-2-binding component 6.

保存条件:在-20°C下保存一年。避免反复冻融。冻干抗体在室温下至少稳定一个月,并在-20°C下保持一年以上。当在无菌pH7.4 0.01M PBS或抗体稀释剂中重组时,抗体在2-4°C下至少稳定两周。

 

​产品介绍:

BAD是bcl2家族的成员,通过与生存蛋白bcl2和bclxl形成异二聚体来促进凋亡,从而阻止它们与bax结合。BAD存在于线粒体外膜,一旦对生长作出磷酸化反应,就会转移到细胞质。BAD的磷酸化状态是死亡或细胞存活的关键检查点。JNK诱导的bad丝氨酸128磷酸化通过抑制生长因子对bad介导的凋亡的抑制作用来促进bad的凋亡作用。CDC2诱导的坏丝氨酸128磷酸化对其与14-3-3蛋白的相互作用有抑制作用。后一种相互作用对丝氨酸155的磷酸化作用至关重要,丝氨酸155是bh3结构域内一个导致bclxl释放和促进细胞存活的位点。该基因的选择性剪接导致两个转录变体编码相同的亚型。

 

功能:

促进细胞死亡。成功竞争与bcl-x(l)、bcl-2和bcl-w的结合,从而影响这些蛋白与bax的异二聚化水平。能逆转bcl-x(L)的死亡抑制因子活性,但不能逆转bcl-2的死亡抑制因子活性。似乎在生长因子受体信号和凋亡途径之间起着联系。

 

子单元:

与抗凋亡蛋白Bcl-X(L)、Bcl-2和Bcl-W形成异二聚体,并结合蛋白S100A10。ser-75/ser-99磷酸化形式结合14-3-3蛋白质。与AKT1和PIM3相互作用。

 

亚细胞位置:

线粒体外膜。细胞质。磷酸化后,定位于细胞质。

 

组织特异性:

在多种组织中表达。

 

翻译后修改:

在一个或多个ser-75、ser-99、ser-118和ser-134上磷酸化,以响应生存刺激,阻止其促凋亡活性。ser-99或ser-75上的磷酸化促进14-3-3蛋白质的异二聚化。这种相互作用促进了SER-118的磷酸化,SER-118是THBH3基序中的一个位点,从而导致BCL-X(L)的释放和细胞存活的促进。SER-99是AKT/PKB磷酸化的主要位点,SER-118是蛋白激酶A(capk)磷酸化的主要位点。pkb/akt1在ser-99处的磷酸化几乎*被caspases-3在凋亡过程中产生的pkn2的凋亡c端裂解产物所阻断。

prmt1在arg-94和arg-96处的甲基化抑制了在ser-99处Akt介导的磷酸化。

 

相似性:

属于BCL-2家族。

 

重要提示:

本产品仅用于研究用途,不用于人类、治疗或诊断应用

​​

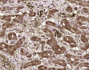
多聚甲醛固定,石蜡包埋(人肝癌);经柠檬酸钠缓冲液(pH6.0)煮沸15min后恢复抗原;用3%过氧化氢阻断内源性过氧化物酶20分钟;阻断缓冲液(正常山羊血清)37℃30min;抗体孵育不良(Ser9)9))多克隆抗体,未结合,1:400,4°C下过夜,然后根据SP试剂盒(兔子)说明和DAB染色进行操作。

公司优势:
1)质量:我司提供的的试剂为世界。
2)价格:价格实惠,量大从优。
4)服务:提供完整的售前、售后和售中服务。售后到底。

如需订购磷酸化相关死亡促进因子抗体​​​​​,请联系我们。

Anti-NK-2R(Neurokinin A receptor; SKR; SuYTtance-K receptor)  神经激肽A受体/K物质受体抗体
Anti-NKB (Neurokinins B)  神经激肽 B抗体
Anti-NKR(Neuromedin B Receptor)  神经激肽B受体抗体
Anti-NKR/Neurokin B receptor (Neuromedin K receptor/NK-2 receptor)  神经激肽-B受体抗体
Anti-Nm23(DNP Kinase)  肿瘤转移抑制基因抗体
Anti-Nm23-H1 (nucleoside dIPhosphatase kinase A)  肿瘤抑制基因抗体

留言框

  • 产品:

  • 您的单位:

  • 您的姓名:

  • 联系电话:

  • 常用邮箱:

  • 省份:

  • 详细地址:

  • 补充说明:

  • 验证码:

    请输入计算结果(填写阿拉伯数字),如:三加四=7
分享到:
版权所有©2019 上海晅科生物科技有限公司 备案号:京ICP证000000号
  • 扫一扫,关注我们